審美歯科

「銀歯が目立って、人前で口を開けて笑うのがためらわれる…」
「歯の色がくすんでいて、もっと白くしたいけれど、どうしたらいいかわからない…」
「前歯の隙間や形が気になって、自信を持って話せない…」
このような歯のお悩みは、ありませんか?
歯の美しさは、見た目の印象を大きく左右するだけでなく、ご自身の自信や心の健康にも深く関わっています。
横山歯科医院では、虫歯や歯周病を治すだけでなく、「機能美」と「自然な美しさ」を追求した審美歯科治療に力を入れています。
横山歯科医院の審美歯科へのこだわり

当院の審美歯科治療は、単に歯を白くしたり、形を整えたりするだけではありません。
お口全体の健康と機能性を考慮し、長期間にわたって美しさを保てるような治療を目指しています。
患者さまに心から満足していただける審美的な結果を得るために、以下の点にこだわっています。
保険治療でも「白い歯」を諦めない

「白い歯にしたいけど、費用が高そう…」と心配されている方もいらっしゃるかもしれません。
しかし、ご安心ください。近年、国の保険制度が拡充され、保険診療でも白い歯を入れることができる範囲が広がっています。
特に、奥歯の治療では、以前は銀歯しか選択肢がなかった部分にも、白い「CAD/CAM冠」と呼ばれる素材の被せ物を入れることが可能になりました(※適用条件があります)。
前歯に関しても、保険適用で白い被せ物を選ぶことができます。
横山歯科医院では、保険診療の範囲内でも、患者さまの口元がより美しく見えるよう、素材の選択から精密な調整まで、丁寧な治療を心がけています。
保険診療で白い歯にしたいというご希望も、どうぞお気軽にご相談ください。
患者さまのご希望と保険適用の条件を照らし合わせながら、最適な方法をご提案いたします。
マイクロスコープを使用した「精密」な治療

審美歯科治療の成功は、肉眼では見えないミクロなレベルでの精密さに大きく左右されます。
当院では、歯科用マイクロスコープを積極的に活用した精密治療を行っています。
マイクロスコープは、肉眼の最大20倍以上もの倍率で患部を拡大して見ることができるため、以下のようなメリットがあります。
歯の削る量を最小限に
虫歯の部分だけを的確に削り、健康な歯質を最大限に残すことができます。
これは、歯の寿命を延ばす上で非常に重要です。
適合性の向上
詰め物や被せ物を装着する際、歯と補綴物の境目をミクロン単位で確認し、隙間なくピッタリと適合させることができます。
これにより、虫歯の再発や歯周病のリスクを低減し、補綴物の持ちも格段に良くなります。
精密な接着
セラミックなどの補綴物を歯に接着する際も、マイクロスコープで細部を確認しながら行うことで、強力で長持ちする接着を実現します。
肉眼では困難な治療への対応
隠れたヒビや、再治療で複雑になった歯の形態なども鮮明に確認できるため、より質の高い治療を提供できます。
口腔内スキャナーによる精密な型取り

審美歯科治療において、詰め物や被せ物の適合性は、その機能性はもちろん、見た目の美しさと耐久性を左右する非常に重要な要素です。
従来の型取りでは、粘土のような材料を口に流し込むため、患者様に不快感や吐き気を感じさせてしまうことがありました。
横山歯科医院では、この課題を解決するため、最新の口腔内スキャナーを導入しています。
不快感ゼロの型取り
小型のカメラで歯の表面をなぞるようにスキャンするだけなので、粘土のような材料を口に入れる必要がありません。
嘔吐反射の強い方でも、快適に型取りを受けていただけます。
高精度な3Dデータ
口腔内スキャナーは、歯や歯ぐきの形状をミクロン単位で正確な3Dデータとしてデジタル化します。
この高精度なデータに基づいて、詰め物や被せ物を設計・作製するため、歯への適合性が格段に向上し、見た目もより自然で美しい仕上がりになります。
リアルタイムでの確認と視覚的な説明
スキャンした3Dデータは、その場でモニターに表示されます。
患者様ご自身の歯の状態を立体的に確認できるため、治療の説明が非常に分かりやすくなります。
治療の効率化
ジタルデータを用いることで、技工所との連携がスムーズになり、作製期間の短縮にも繋がる場合があります。
口腔内スキャナーによる精密な型取りは、審美歯科治療の質を高め、患者様により快適で満足度の高い治療体験を提供します。
審美歯科治療における「保険」と「自費」の違い
「白い歯にしたいけど、保険と自費で何が違うの?」と疑問に思われる方も多いでしょう。
保険診療の白い歯でも十分に美しい口元は実現できますが、自費診療の審美歯科には、さらに一歩進んだ「美しさ」「機能性」「耐久性」を追求できるメリットがあります。
主な違いは以下の点にあります。
素材の選択肢と特性
保険診療

使用できる素材や治療法に制限があります。
白い被せ物としては「CAD/CAM冠(奥歯の一部)」「硬質レジン前装冠(前歯)」などが一般的です。
CAD/CAM冠
金属を使用せず、プラスチックとセラミックの混合素材でできており、白い見た目です。
ただし、強度がやや劣り、経年で変色することがあります。
硬質レジン前装冠
金属のフレームにプラスチックを貼り付けたもので、前歯に使われます。
裏側は金属なので透明感に欠け、プラスチック部分は吸水性があり、変色したり、擦り減ったりすることがあります。
自費診療

最新のセラミック素材など、審美性、耐久性、生体親和性に優れた多種多様な素材から、患者さまに最適なものを選択できます。
ジルコニア、e-max(イーマックス)など
天然の歯に近い透明感や色調を再現でき、非常に丈夫で変色しにくいのが特徴です。
ゴールド
しなやかで加工しやすく、歯との適合性が非常に優れています。
歯と補綴物の間に隙間ができにくく、虫歯の再発リスクを低減できます。
印象(型取り)の精度

保険診療
主にアルジネートという素材で型取りを行います。
比較的安価ですが、乾燥による収縮など、わずかな誤差が生じやすい場合があります。
自費診療
シリコン印象材を使用します。
非常に精密で安定性が高く、お口の中の細かな凹凸や歯茎の形態まで正確に再現できます。
また、必要に応じて「歯肉圧排(しにくあっばい)」という処置を行います。
これは、歯と歯茎の境目に細い糸などを挿入し、一時的に歯茎を広げることで、被せ物の縁が歯茎のラインとぴったり合うように型取りを行う技術です。
これにより、被せ物の適合性が格段に向上し、見た目の美しさと虫歯・歯周病の再発リスク低減につながります。
石膏模型の精度

保険診療
一般的な石膏を使用します。
自費診療
より硬度が高く、精密な超硬石膏を使用します。
これにより、型取りした情報を正確に再現した模型が得られ、適合性の高い補綴物製作の基礎となります。
保証期間
保険診療
原則として保証期間はありません。
自費診療
当院で製作した自費診療の補綴物には、2年~の保証期間を設けています。
通常使用において不具合が生じた場合は、無償で再治療や修理を行いますので、長期にわたって安心してお使いいただけます。
横山歯科医院が取り扱う審美歯科メニュー
患者さまの歯の状態、求める美しさ、ご予算に合わせて、多種多様な審美歯科メニューをご用意しています。
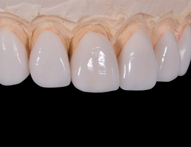
ジルコニア

ジルコニアは、「白いダイヤモンド」とも称されるほど、非常に優れた強度と耐久性を持つセラミック素材です。
人工関節にも使われるほど生体親和性が高く、金属アレルギーの心配もありません。
ジルコニアのメリット
圧倒的な強度
非常に丈夫で割れにくく、奥歯のブリッジなど、強い力がかかる部分にも安心して使用できます。
高い審美性
天然歯のような白さと、透過性(光を通す性質)があり、自然な美しさを再現できます。
変色しない
吸水性がほとんどなく、コーヒーや紅茶、カレーなどの色素沈着も起こりにくく、長期間にわたって白い輝きを保ちます。
生体親和性
金属を一切使用しないため、金属アレルギーの心配がなく、歯茎の変色(ブラックマージン)も起こりません。
汚れがつきにくい
表面が非常に滑らかで、プラーク(歯垢)や汚れが付着しにくいため、虫歯や歯周病のリスクを軽減できます。
e-max(イーマックス)

e-max(イーマックス)は、二ケイ酸リチウムガラスを主成分とする、透明感に優れたオールセラミック素材です。
特に、前歯など、より天然歯に近い透明感や自然な色調が求められる部分に最適です。
e-maxのメリット
天然歯に近い透明感
光の透過性が非常に高く、まるでご自身の歯のような自然な色合いと透明感を再現できます。
優れた審美性
複数の色調や透明度のバリエーションがあり、隣の歯の色に合わせて、オーダーメイドの美しい歯を製作できます。
適度な強度
奥歯の単独の被せ物にも使用できる十分な強度を持ち、対合歯(噛み合う歯)を傷つけにくいという特性もあります。
生体親和性
金属を一切使用しないため、金属アレルギーの心配がなく、歯茎の変色もありません。
汚れがつきにくい
表面が滑らかなため、汚れが付着しにくく衛生的です。
メタルボンド

メタルボンドは、金属のフレームの表面にセラミックを焼き付けた被せ物です。
内側に金属を使用することで強度を確保しつつ、外側はセラミックなので自然な白さを表現できます。
メタルボンドのメリット
高い強度と耐久性
内側の金属が強度を補強するため、奥歯など噛む力が強くかかる部分や、ブリッジにも適しています。
審美性
表面はセラミックでできているため、天然歯に近い色調を再現できます。
変色しにくい
セラミック部分は吸水性がなく、長期間にわたって色やツヤを保ちます。
メタルボンドのデメリットと当院の考え
メタルボンドは、内側に金属を使用するため、歯茎との境目が黒ずんで見える「ブラックマージン」が生じたり、金属アレルギーのリスクがあったりする場合があります。
当院では、患者さまのご希望や状況によってはメタルボンドも選択肢の一つとしてご提案しますが、より自然な美しさや生体親和性を求める方には、ジルコニアやe-maxといったオールセラミック素材をおすすめしています。
ゴールド

ゴールド(金)は、歯科治療において古くから使用されてきた素材であり、その特性から現在でも非常に優れた選択肢の一つです。
特に、奥歯の詰め物や被せ物として利用されます。
ゴールドのメリット
高い適合性
ゴールドはしなやかで加工しやすく、歯との適合性が非常に優れています。
これにより、歯と補綴物の間に隙間ができにくく、虫歯の再発リスクを低減できます。
歯に優しい硬さ
天然歯とほぼ同じ硬さであるため、噛み合う相手の歯を傷つけることがありません。
虫歯になりにくい
適合性が高いため、細菌の侵入を防ぎ、虫歯になりにくい環境を保てます。
金属アレルギーのリスクが低い
比較的金属アレルギーを起こしにくい素材です。
耐久性
非常に錆びにくく、長期間にわたって安定した状態を保ちます。
ゴールドがおすすめのケース
奥歯で、見た目よりも機能性や耐久性を重視したい方。
硬いセラミックだと噛み合う歯への負担が心配な方。
適合性の高い詰め物・被せ物を希望する方。
ラミネートベニア

ラミネートベニアは、歯の表面をわずかに削り、その上にセラミック製の薄いシェル(付け爪のようなもの)を特殊な接着剤で貼り付ける治療法です。
主に前歯の審美性を向上させる目的で用いられます。
ラミネートベニアのメリット
前歯の審美改善
歯の色、形、大きさ、軽度の隙間などを、自然で美しい状態に改善できます。
ホワイトニングでは得られない白さを実現することも可能です。
短期間での治療
多くの場合、数回の通院で治療が完了します。
歯を削る量が少ない
被せ物と比べて歯を削る量が非常に少ないため、歯への負担を抑えられます。
変色しない
セラミック製なので、長期間にわたって美しい白さと光沢を保ちます。
高い耐久性
強力な接着剤で歯と一体化するため、剥がれにくく丈夫です。
ラミネートベニアがおすすめのケース
歯のホワイトニングでは白くならない変色歯(テトラサイクリン歯など)。
歯の表面の軽度な欠けやヒビがある場合。
前歯の軽度の隙間(すきっ歯)を治したい場合。
歯の形や大きさを整えて、よりバランスの取れた口元にしたい場合。