保険適用の白い歯
- 保険適用で経済的
- 一日で治療が完了することが多い
- 天然歯に近い色調で目立ちにくい
- 金属を使わないため金属アレルギーの心配がない
- 健康な歯を削る量が非常に少ない
- 強い力のかかる部位では欠けやすい
- 長期使用で変色する可能性がある
- 大きな虫歯には適応できない場合がある
- 保険で前歯を白くきれいに整えられる
- 金属のフレームがあるため強度が高いv
- 見た目を気にされる方に人気の選択肢
- 銀歯よりも審美的で自然な仕上がり
- 裏側に金属が露出する(全体が白いわけではない)
- 変色や摩耗が起こりやすい
- 審美性はオールセラミックに比べて劣る
- 歯ぐきが下がると、金属の縁が見えてくることも
- 白くて目立たない奥歯が保険で治療可能
- 一般的な銀歯に比べて審美性が高い
- 金属を使わないためアレルギーの心配がない
- 最新の機械で削り出すため適合が良い
- ハイブリッドレジンのため、経年劣化(変色・摩耗)がある
- セラミックよりは耐久性がやや劣る
- 保険適用には部位や条件に制限がある
- 保険でブリッジ全体を白く美しく仕上げられる
- 金属を使わず、自然で優しい印象
- 金属アレルギーのリスクがない
- CAD/CAM冠と同様、しっかりとした適合性がある
- 適応範囲が限定的(前歯・小臼歯の一部)
- 強い力が加わると割れるリスクがある
- 経年で色のくすみや摩耗が見られることがある
- 第二小臼歯(5番目の歯)が無いケースで、その前後の歯の支えがしっかりしていること
- 第二大臼歯(7番目の歯)が上下左右4本揃っていて、しっかり噛み合っていること
- 両隣の支えになる歯は、原則神経の無い歯であること
- 噛む力が強すぎない、歯ぎしりなどが無いこと
「見た目」と「安心」を両立する保険診療をご提案しています

「治療は必要だけど、銀歯にはしたくない…」
「見た目が気になるけど、自費治療は高くて不安…」
そんなお悩みにお応えするために、当院では保険適用でも白い歯にできる治療法を多数ご用意しています。
近年、厚生労働省の制度改正により、条件付きで白い歯(レジン系材料やCAD/CAM冠など)の保険診療が大幅に拡充されました。
このページでは、以下の保険適用可能な白い歯の治療について、それぞれのメリット・デメリット・適用範囲・費用の目安(3割負担の場合)をわかりやすくご紹介します。
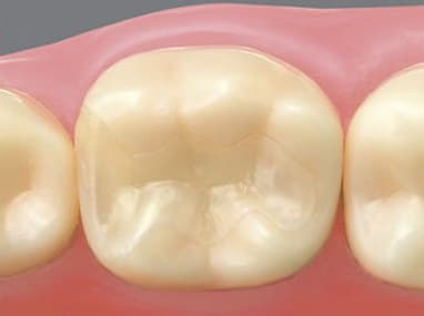
コンポジットレジン(CR)

小さな虫歯や欠けに、削る量を最小限に抑えられる白い詰め物
コンポジットレジン治療とは、歯にできた小さな虫歯や欠けた部分に、白くて歯に近い色合いの樹脂素材(レジン)を詰めて修復する治療法です。
保険適用で行えるため、比較的費用が抑えられ、治療も短時間で完了することが多いのが特徴です。
金属を使わないため、治療後の歯が自然な見た目に仕上がり、金属アレルギーの心配もありません。
しかも、健康な歯を必要以上に削らずに済むため、歯に優しい治療といえます。
ただし、大きな虫歯や、強い咬合力がかかる奥歯には適応できない場合があります。
また、経年によって多少の変色や摩耗が見られることもあります。
とはいえ、日常のメンテナンスをしっかり行えば、長く快適に使える素材です。
特に前歯や小臼歯など、目立ちやすい部位の小さな修復には最適な選択肢といえるでしょう。
【メリット】
【デメリット】
適用範囲

保険治療での適用範囲に制限はありません(すべての歯に適用できます)。
ですが、コンポジットレジン(CR)はプラスチック素材で強度があまり高くないため、強い力の加わる奥歯などでは欠けたり割れたりすることがあります。
また、同じく強度の問題から、深い虫歯や大きな虫歯の場合には対応できない可能性があります
費用
1,000~2,000円程度
※費用は保険治療を行った3割負担の方の場合です。
※金額はその部位の治療費用であり、レントゲンなどの診断のための費用や文書管理、クリーニングなどの費用は含まれておりません。
※標準的な治療の目安であり、お口の状況により変わります。
硬質レジン前装冠

前歯の見た目を整える保険の白い被せ物
硬質レジン前装冠は、前歯などの見た目を重視する部位に対して用いられる保険適用の被せ物です。
金属のフレームの上に白い硬質レジンという樹脂素材を貼り付けて作られており、前から見ると白く自然な見た目に仕上がります。
審美性と耐久性のバランスが良く、神経を取った歯などに行う被せ物として広く使われています。
一方で、内側や裏側には金属が使用されているため、すべてが白いわけではなく、見る角度によっては金属が見える場合もあります。
また、経年によりレジンがすり減ったり、変色することがありますが、保険内で治療できる点は大きな魅力です。
全体的に自然な見た目を保ちながら、経済的に歯を修復したい方にとっては、非常に有効な治療法といえるでしょう。
前歯の見た目を整えたい方にはおすすめの選択肢です。
【メリット】
【デメリット】
適用範囲

保険がきくのは上下の前歯6本のみです。(奥歯へ使用する場合は保険が適用されません)
費用
8,000円程度
※費用は保険治療を行った3割負担の方の場合です。
※金額はその部位の治療費用であり、レントゲンなどの診断のための費用や文書管理、クリーニングなどの費用は含まれておりません。
※標準的な治療の目安であり、お口の状況により変わります。
CAD/CAM冠・CAD/CAMインレー

保険で白い奥歯の被せ物・詰め物が可能に
CAD/CAM冠およびCAD/CAMインレーは、専用の機械を用いてハイブリッドレジン素材を削り出し、歯にぴったり合うよう設計・製作される白い詰め物・被せ物です。
これまで奥歯の治療は金属の銀歯が主流でしたが、近年の制度改正により、一定の条件を満たせば保険適用でも白い材料を使った治療が可能になりました。
CAD/CAM冠は歯全体を覆う被せ物、インレーは部分的な詰め物として使われます。
白く自然な見た目で、金属を使用しないためアレルギーの心配もありません。
また、機械による精密な設計で、適合性も高く、長持ちしやすいという特徴があります。
耐久性はセラミックに劣りますが、適切なケアを行えば日常使用には十分対応できます。
審美性と経済性を両立したい方におすすめの治療法です。
【メリット】
【デメリット】
適用範囲(CAD/CAM冠の場合)
現在、細かな条件はありますが、すべての歯で適用可能となっています。
条件の詳細はご来院の上、ご相談ください。
費用
6,000円程度
※費用は保険治療を行った3割負担の方の場合です。
※金額はその部位の治療費用であり、レントゲンなどの診断のための費用や文書管理、クリーニングなどの費用は含まれておりません。
※標準的な治療の目安であり、お口の状況により変わります。
適用範囲(CAD/CAMインレーの場合)

4・5番目までの歯が保険適用になります。
6番目の歯は7番目の歯が上下左右4本残っていれば保険適応になります。
金属アレルギーの場合
金属アレルギーの方は4・5・6・7番目の歯が保険適応になります。
6番・7番の場合は、金属アレルギーを証明する医師の診断書が必要となります。
費用
4,000円程度
※費用は保険治療を行った3割負担の方の場合です。
※金額はその部位の治療費用であり、レントゲンなどの診断のための費用や文書管理、クリーニングなどの費用は含まれておりません。
※標準的な治療の目安であり、お口の状況により変わります。
保険適用の白いブリッジ(高強度硬質レジンブリッジ)

金属を使わないブリッジも保険で可能に!
ブリッジの場合、従来までは保険が適用されるのは「硬質レジン前装冠」か、「銀歯」のみでした。
硬質レジン前装冠の保険適用は前歯のみですので、上下の前歯6本以外は銀歯しか選択肢はありませんでしたが、2018年4月から、「高強度硬質レジンブリッジ」が保険適用になったことで、白い歯にできる適用範囲が広がりました。
高強度硬質レジンブリッジとは、歯冠用グラスファイバーによるフレームに高強度の硬質レジンを用いて製作するブリッジで、欠損歯1本に対し、前後1本ずつの歯で支える3歯分のブリッジのことです。
金属代替材料としてグラスファイバーで補強された高強度のコンポジットレジンを素材として使用しているため、比較的強度も強く、また金属を使用しないため、金属アレルギーの方でも安心して使えます。
ですが、強度が強化されたとはいえ、大臼歯などの噛み合わせのの力が強く加わるような歯の場合は強度が耐えられない可能性もあり、保険適用される範囲はかなり限定され、また適用条件も厳しいことから、あまり普及はしていないのが現状です。
条件に一致すれば最新の技術を利用した高強度硬質レジンブリッジが選択できますので、ご自身のケースが適用できるかどうか、まずはご相談いただければと思います。
【メリット】
【デメリット】
適用範囲

高強度硬質レジンブリッジの保険適用ができるのは第二小臼歯(前から5番目の歯)のみで、適用には下記の条件を満たす必要があります。
≪適用条件≫
金属アレルギーの場合
金属アレルギー患者については、第一大臼歯(6番目の歯)がないケースで、その前後の歯を支えとするものも適応できます。
また、第二大臼歯(7番目の歯)残存のハードルもなくなります。
費用
15,000円程度
※費用は保険治療を行った3割負担の方の場合です。
※金額はその部位の治療費用であり、レントゲンなどの診断のための費用や文書管理、クリーニングなどの費用は含まれておりません。
※標準的な治療の目安であり、お口の状況により変わります。